Summor.se Logo

Könsbunden nedärvning

Könskromosomer

Hos människan, och många andra djur, bestäms det biologiska könet av ett par speciella kromosomer: könskromosomerna.

  • Kvinnor har två X-kromosomer (XX).
  • Män har en X-kromosom och en Y-kromosom (XY).

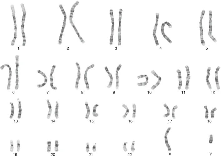
Kromosomer Bild som visar de mänskliga kromosomerna. Vi delar upp dem i autosomala kromosomer och könskromosomer.

X-kromosomen är betydligt större än Y-kromosomen och innehåller många fler gener. Y-kromosomen innehåller främst gener som är avgörande för utvecklingen till manligt kön.


Vad är könsbunden nedärvning?

När en gen för en viss egenskap sitter på en av könskromosomerna kallas det för könsbunden nedärvning. Eftersom X-kromosomen innehåller flest gener är de flesta könsbundna egenskaperna kopplade till den (X-bunden nedärvning).

Män drabbas oftare

Eftersom män bara har en X-kromosom, kommer en recessiv allel på den kromosomen alltid att uttryckas. Kvinnor har två X-kromosomer och måste därför ha den recessiva allelen på båda sina X-kromosomer för att egenskapen ska synas. En kvinna kan istället vara anlagsbärare om hon är heterozygot.


Exempel 1: Röd-grön färgblindhet

Röd-grön färgblindhet är en klassisk X-bunden recessiv egenskap. Vi betecknar allelerna:

  • XF: Normalt färgseende (dominant)
  • Xf: Färgblind (recessiv)
  • Y: Innehåller inte genen för färgseende.

Vi korsar en anlagsbärande kvinna (XFXf) med en man med normalt färgseende (XFY).

♀/♂XFY
XFXFXFXFY
XfXFXfXfY

Resultat:

  • Döttrar: 50% helt friska (XFXF), 50% anlagsbärare (XFXf). Ingen av döttrarna blir färgblind.
  • Söner: 50% friska (XFY), 50% färgblinda (XfY).

Det är alltså 25% risk för hela barngruppen att få en färgblind son.

Färgblindhet Fler exempel på nedärvning av färgblindhet.


Exempel 2: Blödarsjuka (hemofili)

Blödarsjuka är en annan X-bunden recessiv sjukdom som innebär att blodet har svårt att koagulera. Vi använder allelerna:

  • XB: Normal koagulation (dominant)
  • Xb: Blödarsjuk (recessiv)

Vi korsar en frisk man (XBY) med en blödarsjuk kvinna (XbXb).

♀/♂XBY
XbXBXbXbY
XbXBXbXbY

Resultat:

  • Döttrar: 100% blir anlagsbärare (XBXb). De är friska men bär på anlaget.
  • Söner: 100% blir blödarsjuka (XbY).

Faders ärftlighet

Notera att en far aldrig kan överföra en X-bunden egenskap till sin son, eftersom sonen alltid ärver Y-kromosomen från sin far.

Blödarsjuka Drottning Viktoria bar på anlag för blödarsjuka vilket gav utslag genom den europeiska kungafamiljerna.

MerRoyalty Ytterligare schema över blödarsjuka hos de europeiska kungafamiljerna.


Fördjupning: X-kromosominaktivering

Eftersom honor (XX) har två X-kromosomer och hanar (XY) bara har en, finns en mekanism för att “jämna ut” genuttrycket. Tidigt i fosterutvecklingen hos honor inaktiveras en av de två X-kromosomerna slumpmässigt i varje cell. Denna process kallas X-kromosominaktivering eller Lyonisering.

Den inaktiverade X-kromosomen packas ihop hårt och blir en så kallad Barr body.

Exempel: Sköldpaddsfärgade katter

Ett perfekt exempel på detta är pälsfärgen hos katter. Genen som styr om pälsen blir orange eller svart sitter på X-kromosomen.

  • XO: Allel för orange färg
  • Xo: Allel för svart färg

Hona (XOXo): En honkatt som är heterozygot (XOXo) kommer att vara en mosaik. I vissa cellklumpar har XO-kromosomen inaktiverats, vilket gör att den svarta allelen (Xo) uttrycks och ger en fläck med svart päls. I andra cellklumpar har Xo-kromosomen stängts av, vilket gör att den orangea allelen (XO) uttrycks och ger en orange fläck.

Resultatet är en sköldpaddsfärgad (tortoiseshell) eller trefärgad (calico, om vita fläckar också finns) katt.

Katt En honkatt kan ha både svarta och orangea fläckar på grund av X-kromosominaktivering.

Hane (XOY eller XoY): En hankatt har bara en X-kromosom. Han kan därför bara vara antingen helt orange (XOY) eller helt svart (XoY), men inte båda samtidigt. En sköldpaddsfärgad hankatt är extremt sällsynt och beror oftast på en kromosomavvikelse (t.ex. XXY-syndrom).